
OSTEOARTROSI DELL'ASTRAGALO: COME RICONOSCERLA E TRATTARLA SENZA CHIRURGIA
OSTEOARTROSI DELL'ASTRAGALO: COME RICONOSCERLA E TRATTARLA SENZA CHIRURGIA
L’osteoartrosi dell’astragalo è una condizione degenerativa della caviglia spesso sottovalutata, ma capace di compromettere in modo importante la qualità di vita. Come Medico che si occupa di chirurgia mini-invasiva e medicina rigenerativa, ti dico subito una cosa fondamentale:
👉 non tutti i casi devono arrivare alla chirurgia o alla protesi.
Oggi esistono strategie efficaci per ridurre il dolore, migliorare la funzione e stimolare la rigenerazione tissutale.
🔍 Cos’è l’osteoartrosi dell’astragalo
L’astragalo è un osso chiave della caviglia: collega gamba e piede e sopporta gran parte del carico durante la camminata.
L’osteoartrosi si sviluppa quando:
la cartilagine si consuma
l’osso sottostante si altera
si crea infiammazione cronica
👉 Risultato: dolore, rigidità e limitazione nei movimenti.
⚠️ Cause principali
L’artrosi dell’astragalo non è quasi mai “spontanea”. Nella maggior parte dei casi ha una causa precisa:
1. Traumi pregressi (la causa più frequente)
Distorsioni ripetute
Fratture della caviglia
Lesioni osteocondrali
👉 Anche traumi di anni prima possono portare ad artrosi.
2. Instabilità della caviglia
Legamenti lesionati o lassità cronica
Micro-movimenti anomali
👉 Questo “consumo anomalo” accelera la degenerazione.
3. Sovraccarico biomeccanico
Piede piatto o cavo
Disallineamenti
Attività sportive ad alto impatto
4. Ridotta vascolarizzazione dell’astragalo
L’astragalo ha una circolazione delicata:
👉 guarisce più lentamente rispetto ad altri distretti.
🧪 Diagnosi: come si riconosce davvero
Una diagnosi corretta è la chiave per evitare interventi inutili.
👣 Sintomi tipici
Dolore profondo alla caviglia
Rigidità al mattino o dopo riposo
Difficoltà a camminare o scendere le scale
Gonfiore intermittente
🧠 Esami fondamentali
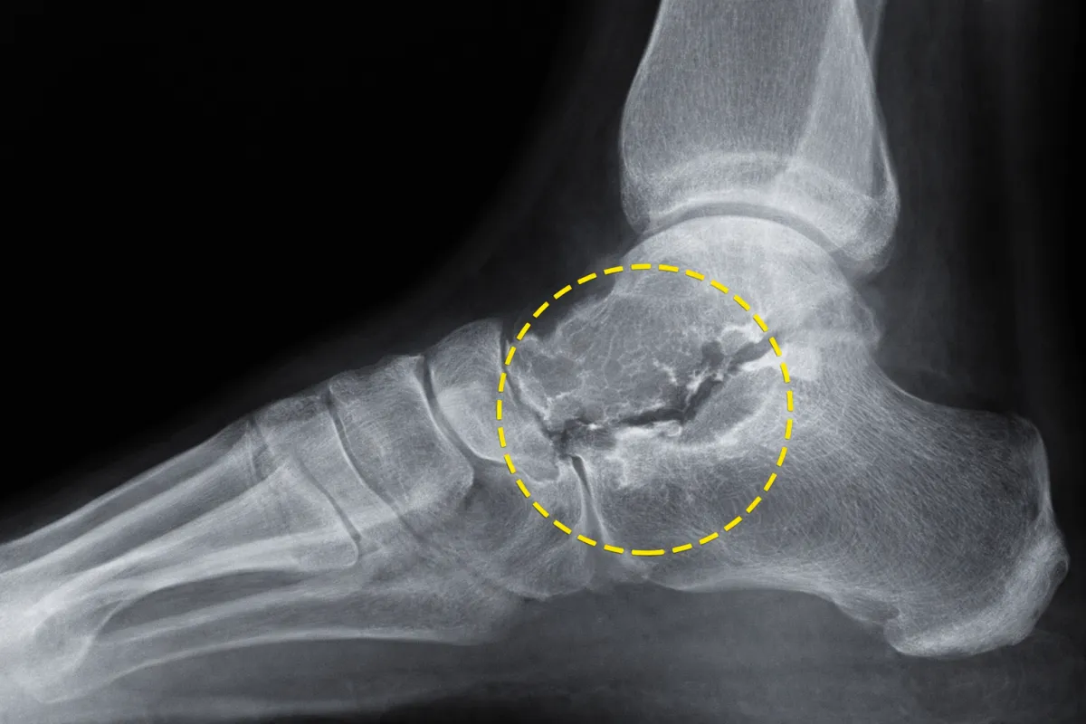
Radiografia
Riduzione dello spazio articolare
Osteofiti
Risonanza Magnetica (RMN)
Stato della cartilagine
Edema osseo
Lesioni osteocondrali
Valutazione clinica biomeccanica
Spesso sottovalutata, ma decisiva
👉 È qui che si decide se puoi evitare la chirurgia.
🌱 Terapie rigenerative: l’alternativa concreta alla chirurgia
L’obiettivo non è “coprire il dolore”, ma:
ridurre l’infiammazione
stimolare la riparazione
migliorare la biomeccanica
💉 1. PRP (Plasma Ricco di Piastrine)
Si ottiene dal sangue del paziente.
Azione:
rilascia fattori di crescita
riduce l’infiammazione
stimola la riparazione della cartilagine
👉 Ottimo nelle fasi iniziali e moderate.
🧬 2. Cellule staminali (midollo osseo)
Prelevate generalmente da:
cresta iliaca
tibia prossimale (approccio mini-invasivo)
Azione:
stimolano la rigenerazione tissutale
migliorano l’ambiente articolare
agiscono anche sull’osso subcondrale
👉 Indicate nei casi più avanzati o resistenti.
🧪 3. PRF (fibrina ricca di piastrine)
versione più evoluta e naturale del PRP
rilascio lento dei fattori di crescita
👉 Ottimo in protocolli combinati.
🎯 4. Infiltrazioni ecoguidate
Fondamentali per:
precisione millimetrica
evitare dispersione del trattamento
👉 La tecnica è tanto importante quanto il materiale utilizzato.
⚙️ 5. Correzione biomeccanica
Spesso è il fattore più trascurato.
Include:
plantari personalizzati
rieducazione motoria
trattamento dell’instabilità
👉 Senza questo, anche le infiltrazioni funzionano meno.
🚫 Quando si può evitare la chirurgia
Nella mia esperienza, molti pazienti possono evitare l’intervento se:
l’artrosi non è completamente distruttiva
si interviene in modo precoce
si utilizza un approccio combinato
👉 La chiave è il timing + protocollo corretto.
🔚 Messaggio finale
L’osteoartrosi dell’astragalo non è una condanna alla protesi.
Oggi abbiamo strumenti concreti per:
rallentare la degenerazione
migliorare la funzione
ridurre il dolore in modo naturale
👉 Ma serve una valutazione specialistica mirata e un approccio personalizzato.
💡 In sintesi
L’artrosi dell’astragalo nasce spesso da traumi o instabilità
La diagnosi precisa è fondamentale
Le terapie rigenerative possono cambiare la storia della malattia
Non aspettare che il danno sia irreversibile
