


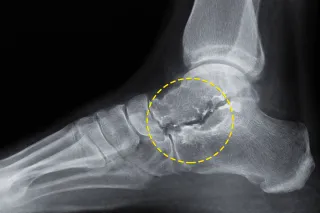
L’artrosi è una patologia degenerativa che colpisce le articolazioni, causando dolore, rigidità e una progressiva perdita di mobilità. È causata dalla rottura della cartilagine che riveste le ossa, rendendo i movimenti difficoltosi e dolorosi.
Diversi studi clinici hanno dimostrato il potenziale delle cellule staminali mesenchimali (MSCs), prelevate dalla tibia con tecniche minimamente invasive, nel trattamento dell'Artrosi, soprattutto in stadi avanzati.

Riduzione del dolore e dell’infiammazione: Le cellule staminali ossee modulano la risposta immunitaria, riducendo significativamente i livelli di infiammazione sinoviale e migliorando la qualità della vita.

Un trial pubblicato su Stem Cells Translational Medicine ha registrato una diminuzione significativa nei livelli di interleuchina-1β (IL-1β), un biomarcatore responsabile della degradazione della cartilagine, dopo l'iniezione di cellule staminali mesenchimali (MSCs) ossee.

Rigenerazione della cartilagine e miglioramento della funzionalità articolare: Le cellule staminali ossee stimolano la produzione di matrice extracellulare e collagene di tipo II, elementi essenziali per ricostruire lo spazio articolare. Studi pubblicati su Arthritis Research & Therapy hanno evidenziato un aumento dello spessore della cartilagine fino al 70% a 6-12 mesi dal trattamento.

Risultati rapidi e duraturi con tempi di recupero in 48 ore: I pazienti trattati con queste cellule hanno riportato miglioramenti nei punteggi funzionali (es. KOOS e WOMAC) già nei primi 3-6 mesi, con un impatto positivo che può durare anni, ritardando la necessità di interventi protesici.

Sicurezza ed efficacia comprovate: Studi clinici non hanno rilevato effetti collaterali gravi, dimostrando che queste procedure siano sicure e ben tollerate anche in pazienti con altre patologie associate (diabete, osteoporosi, ecc.). Una revisione pubblicata su International Journal of Molecular Sciences ha confermato l'assenza di eventi avversi rilevati durante i periodi di follow-up che arrivano fino a 30 mesi.
Queste scoperte confermano che l'uso delle cellule staminali ossee rappresenta una delle soluzioni più promettenti per gestire l’artrosi in modo naturale, efficace e minimamente invasivo, restituendo mobilità e benessere ai pazienti.
Il trattamento con Cellule Staminali Mesenchimali Ossee prelevate dalla TIBIA è particolarmente efficace su ginocchia e altre grandi articolazioni colpite da artrosi. Può essere utilizzato anche per problemi articolari di spalla e caviglia.
Attraverso un prelievo minimamente invasivo dal midollo osseo della tibia, vengono estratte cellule staminali mesenchimali che vengono poi processate e iniettate direttamente nell’articolazione colpita. Queste cellule stimolano la rigenerazione dei tessuti e riducono l’infiammazione.
⚠️⚠️⚠️ Non è un Protocollo nato per risolvere tutte le problematiche artritiche, ma un trattamento innovativo e mirato per stimolare la rigenerazione dei tessuti e ridurre l’infiammazione ⚠️⚠️⚠️
La procedura del trattamento con cellule staminali prelevate dalla Tibia è la seguente:

1. Prelievo
L’aspirato midollare viene prelevato dalla tibia prossimale rispettando i criteri di sterilità, in ambiente protetto e sicuro
2. Processazione
L’aspirato midollare prelevato è processato immediatamente in un sistema chiuso e completamente asettico. Si procede così alla eliminazione delle popolazioni cellulari non utili.
3. Innesto
Il concentrato midollare di cellule mesenchimali adulte (MSCs), ottenuto viene infiltrato con o senza guida ecografia a seconda della sede anatomica.
Tutto questo, in un’unica seduta, senza dolore, rischi o cicatrici visibili!
Le cellule staminali mesenchimali ossee hanno una maggiore capacità rigenerativa rispetto a quelle di origine adiposa. Gli studi dimostrano che sono più efficaci e omofunzionali nel ricostruire la cartilagine, ridurre l’infiammazione e migliorare la mobilità articolare, con un rischio minimo di complicazioni e recupero rapido in 48h.
Mentre le cellule staminali di origine adiposa partono dal grasso (quindi cellule che si differenziano in adipociti) e arrivano all’osso, le cellule di origine ossea (quindi cellule che si differenziano in osteociti, fibrociti e condrociti) partono dall’osso e arrivano all’osso.
Le cellule adipose spesso sono più indicate in chirurgia estetica per aumentare i volumi e migliorare l’estetica dei tessuti cutanei (glutei, viso, ecc.). Quindi, quando vengono utilizzate nel trattamento dell’artrosi, si origina una sorta di “forzatura” nella differenziazione cellulare, che non si origina in caso di uso di cellule staminali di origine ossea.

Quando si parla di cura dell’artrosi e rigenerazione articolare, è fondamentale conoscere le differenze tra protesi, cellule staminali da grasso e cellule staminali mesenchimali prelevate da osso (tibia prossimale).
Anestesia e Invasività:
La protesi richiede un’anestesia generale e un intervento chirurgico molto invasivo, mentre il prelievo di cellule staminali mesenchimali da osso (tibia) è minimamente invasivo e si esegue con semplice anestesia locale.
Modalità e Tempi di Recupero:
Con la protesi è previsto un ricovero ospedaliero e oltre 30 giorni di convalescenza. Al contrario, il prelievo di cellule staminali mesenchimali da osso (tibia) si fa in ambulatorio e permette un recupero in appena 1-3 giorni.
Esiti e Rischi:
La protesi lascia cicatrici e presenta alti rischi di complicanze (infezioni, rigetto, embolie), mentre il trattamento con cellule staminali mesenchimali prelevate dalla tibia è sicuro, con fastidi minimi e temporanei. Anche rispetto al prelievo da grasso, che può causare gonfiore e sanguinamento, la tecnica ossea è più semplice e tollerabile.
Dolore:
I pazienti riportano un dolore post-operatorio elevato con la protesi, medio con la lipoaspirazione (cellule staminali da grasso) e minimo con l’infiltrazione di cellule staminali mesenchimali da osso. In sintesi, le cellule staminali mesenchimali prelevate dalla tibia rappresentano la soluzione più naturale, sicura e con i tempi di recupero più rapidi. Ideale per chi desidera evitare (o tardare) l’intervento chirurgico e tornare presto alla propria quotidianità.








L’artrosi è una patologia degenerativa che colpisce le articolazioni, causando dolore, rigidità e una progressiva perdita di mobilità. È causata dalla rottura della cartilagine che riveste le ossa, rendendo i movimenti difficoltosi e dolorosi.
Questo trattamento è ideale per:
- chi soffre di artrosi severa
- per chi ha subito lesioni del menisco o dei legamenti
- pazienti a rischio (cardiopatici, immunocompromessi, anziani, con allergie ai metalli)
-per chi desidera evitare o ritardare un intervento chirurgico.
-Non è indicato per chi presenta gravi deformità ossee o lesioni articolari irreparabili, che richiedono un approccio chirurgico più invasivo.
Il trattamento è particolarmente efficace su ginocchia, ed altre grandi articolazioni colpite da artrosi. Può essere utilizzato anche per problemi articolari di spalla e caviglia.
Il trattamento con cellule staminali è composto da 3 fasi fondamentali, ognuna delle quali contribuisce a garantire risultati ottimali:
1. Visita diagnostica
La prima fase prevede una visita completa in una delle sedi disponibili (San Marino, Modena, Roma o Napoli) per:
Valutare la salute generale del paziente (pressione, cuore, polmoni ed altri esami).
Visionare eventuali esami precedenti (ecografia, risonanza magnetica e TAC).
Eseguire una visita specialistica per verificare l’articolazione e identificare possibili controindicazioni.
2. Preparazione del terreno
Per ottimizzare l’efficacia delle cellule staminali, è essenziale ridurre eventuali infiammazioni presenti nell'articolazione. A questo scopo si utilizzano terapie come l’ozonoterapia e l’iperbarica, che:
Migliorano la qualità del sangue.
Ridimensionano il gonfiore e l’infiammazione.
Creano un ambiente favorevole per il trattamento rigenerativo.
Puoi scegliere tra diversi pacchetti, personalizzati in base al tempo e alle esigenze:
Gold: 5 giorni con iperbarica, ozonoterapia e trattamento con cellule staminali.
Silver: 3 giorni con ozonoterapia, cellule staminali e controlli di mobilità.
Bronze: 1 giorno con cellule staminali seguito da ozonoterapia.
3. Trattamento rigenerativo (cellule staminali-PRP/PRF)
Questa fase consiste nell'iniezione di cellule staminali o PRP/PRF (Plasma ricco in fibrina) direttamente nell’articolazione per stimolare la rigenerazione dei tessuti. Il trattamento può essere completato in diverse sedi:
San Marino (Domus Medica): l’unica sede dove è possibile svolgere tutte le fasi (ozono, iperbarica, cellule staminali e PRP).
Modena: disponibile per ozono, cellule staminali e PRP.
Roma (UPC Salvator Mundi): disponibile per ozono, cellule staminali e PRP.
Napoli: disponibile per ozono, cellule staminali e PRP.
Richiedi un consulto personalizzato per scoprire quale percorso è più adatto a te e ritrovare la tua libertà di movimento.
Riduzione del dolore e dell’infiammazione.
Rigenerazione della cartilagine e miglioramento della funzionalità articolare.
Miglioramento della funzionalità del movimento e ripresa delle attività quotidiane.
Recupero rapido in sole 48 ore, con risultati visibili nei primi 3-6 mesi.
Ritardo o eliminazione della necessità di una protesi.
Il trattamento richiede una sola seduta della durata massima di 2 ore. Questo trattamento è particolarmente utile anche per persone fuori sede.
La preparazione del terreno è una fase fondamentale per massimizzare l’efficacia del trattamento rigenerativo con cellule staminali.
ll paziente, prima di sottoporsi al trattamento delle cellule staminali, presenta solitamente infezioni e dolore al ginocchio.
Le cellule staminali, prodotte dal sangue del paziente, lavorano meglio in un ambiente sano e privo di infiammazioni.
Se il terreno (ossia il sangue dello stesso paziente) è "contaminato" da infezioni o infiammazioni, i risultati del trattamento possono essere meno efficaci.
Per questo motivo, si utilizza l’ozonoterapia e/o l’iperbarica, che aiutano a:
Ridurre le infiammazioni
Migliorare la qualità del sangue e del midollo osseo
Rendere l’articolazione più recettiva al trattamento rigenerativo.
Le cellule staminali sono la nuova frontiera della Medicina Rigenerativa.
I principali suoi vantaggi sono i seguenti:
Riduzione del dolore: migliora la qualità della vita ritardando o evitando l’intervento chirurgico.
Minima invasività: permette procedure ambulatoriali in singola seduta chirurgica, con tempi di recupero rapidi e assenza di convalescenza.
Sicurezza: utilizza materiali biologici autologhi, cioè che derivano dallo stesso paziente. Non vengono prelevate le cellule staminali del bambino.
Prima del trattamento, è essenziale sottoporsi a una valutazione diagnostica completa per confermare che l’artrosi sia compatibile con la terapia rigenerativa.
Una settimana prima ed una settimana dopo l’infiltrazione intrarticolare è bene non assumere cortisonici, antinfiammatori ed anticoagulanti per evitare eventuali sanguinamenti o interferenze con i processi rigenerativi. Continuare la terapia con solo farmaci indispensabili dietro consiglio del proprio medico.
Al fine di migliorare la qualità e quantità del preparato di PRP/PRF e di Cellule Staminali Ossee è consigliabile bere molta acqua, fare una alimentazione naturale ricca in frutta e verdura, assumere nutraceutici che stimolano la produzione di cellule del sangue e fare una modica attività fisica all’aria aperta.
Dopo il trattamento, è strettamente necessario seguire tutte le indicazioni prescritte dal Medico.
E’ indispensabile applicare localmente il ghiaccio e limitare i movimenti dell’arto per almeno 24 ore.
Si deve assumere antibiotici di sintesi o naturali per scongiurare eventuali infezioni.
La ricostruzione dei tessuti puo’ essere velocizzata attraverso dei cicli di Ozono Terapia Sistemica (GAEI), Ossigenoterapia Iperbarica (OTI), Campi Magnetici Pulsati (PEMF) o Ultrasuoni a Bassa Intensità (LIPUS).
La riabilitazione deve essere dolce, delicata e progressiva con esercizi di allungamento e mobilizzazioni articolari. Si consiglia terapia posturale, rinforzo isometrico del muscolo quadricipite, stretching della catena cinetica posteriore, nuoto stile libero e dorso, cyclette con sella alta e pedalata morbida.
Cos’è l’Artrosi? – Scopri come l'artrosi colpisce le articolazioni e come i fattori come l’età, gli stili di vita e i problemi metabolici possono accelerarne il processo degenerativo.
Perché il PRP/PRF e le Cellule Staminali Ossee sono la Soluzione Ideale? – Scopri i vantaggi di trattamenti rigenerativi naturali che utilizzano le tue cellule per stimolare la guarigione senza bisogno di interventi chirurgici invasivi.
Come Funziona il Trattamento con Cellule Staminali? – Ti spiegherò passo dopo passo come viene effettuato il prelievo delle cellule staminali dal midollo osseo, la loro processazione e come vengono infiltrate nell’articolazione per favorire la rigenerazione dei tessuti danneggiati.
Perché la Medicina Rigenerativa è la Scelta Giusta? – Confronto diretto tra i trattamenti tradizionali (come la protesi) e le soluzioni innovative con PRP/PRF e cellule staminali ossee.
Come Ridurre il Dolore e Accelerare la Guarigione? – Scopri come una combinazione di trattamenti rigenerativi può non solo ridurre l’infiammazione, ma anche accelerare il recupero e il benessere a lungo termine.
Cosa è Necessario Fare Prima e Dopo il Trattamento? – Informazioni fondamentali su come prepararti per il trattamento e cosa fare nel periodo post-trattamento per ottenere i migliori risultati.
E MOLTO di più…
Sono un Medico Chirurgo esperto in Medicina Rigenerativa Multidisciplinare, con oltre 30 anni di esperienza nel trattamento di problematiche di artrosi, soprattutto severe, utilizzando tecniche avanzate come il PRP e PRF e le infiltrazioni con cellule staminali ossee prelevate dalla tibia.
Il mio obiettivo? Aiutarti a ritrovare la tua libertà di movimento senza protesi, senza chirurgia e con un approccio naturale basato sulle risorse rigenerative del tuo stesso corpo.
Effettuo visite private a San Marino, Roma, Napoli e Barcellona (Spagna).
L’interesse verso la Medicina Rigenerativa e tecniche correlate inizia nei primi anni dopo la Laurea in Medicina e Chirurgia. Già nel marzo 1992 ho frequentato il seminario "Trapianto di midollo osseo": indicazioni e procedure chirurgiche” presso l’ Ospedale di Terni - Università di Perugia.
Sono stato Allievo del Professor Cerulli, uno dei massimi esperti della Chirurgia non invasiva al Ginocchio.
Successivamente ho acquisito competenze nell’utilizzo di PRP, PRF ed utilizzo di Cellule staminali mesenchimali da aspirato osteo-midollare con la tecnica Lombardini Biotechnology.




Sono un Medico Chirurgo esperto in Medicina Rigenerativa Multidisciplinare, con oltre 30 anni di esperienza nel trattamento di problematiche di artrosi, soprattutto severe, utilizzando tecniche avanzate come il PRP e PRF e le infiltrazioni con cellule staminali ossee prelevate dalla tibia.
Il mio obiettivo? Aiutarti a ritrovare la tua libertà di movimento senza protesi, senza chirurgia e con un approccio naturale basato sulle risorse rigenerative del tuo stesso corpo.
Effettuo visite private a San Marino, Roma, Napoli e Barcellona (Spagna).
L’interesse verso la Medicina Rigenerativa e tecniche correlate inizia nei primi anni dopo la Laurea in Medicina e Chirurgia. Già nel marzo 1992 ho frequentato il seminario "Trapianto di midollo osseo": indicazioni e procedure chirurgiche” presso l’ Ospedale di Terni - Università di Perugia.
Sono stato Allievo del Professor Cerulli, uno dei massimi esperti della Chirurgia non invasiva al Ginocchio.
Successivamente ho acquisito competenze nell’utilizzo di PRP, PRF ed utilizzo di Cellule staminali mesenchimali da aspirato osteo-midollare con la tecnica Lombardini Biotechnology.





La scoperta della Terapia rigenerativa attraverso l’utilizzo del PRF del Dr. Josep Choukroun mi ha permesso di trattare con successo patologie ortopediche e chirurgiche complesse in modo meno invasivo e senza effetti collaterali.
Negli anni ho acquisito ulteriori conoscenze che mi hanno permesso di migliorare i risultati terapeutici quali l’Ozonoterapia, la Medicina iperbarica e la Rigenerazione Ossea guidata.
Sono stato Relatore in differenti congressi di Medicina Rigenerativa Autologa Multidisciplinare:
1° Convegno LA MEDICINA RIGENERATIVA: presente, futuro e campi di applicazione (Università della Tuscia di Viterbo, 16 febbraio 2019)
Seminario “Concentrati piastrinici e medicina rigenerativa 4.0” Università degli Studi di Chieti e ANTHEC con il tema "Concentrati piastrinici nell'implantologia ceramica: dalla rigenerazione ossea all'ingegneria della zirconia" (Chieti, 23 maggio 2018)
La scoperta della Terapia rigenerativa attraverso l’utilizzo del PRF del Dr. Josep Choukroun mi ha permesso di trattare con successo patologie ortopediche e chirurgiche complesse in modo meno invasivo e senza effetti collaterali.

Negli anni ho acquisito ulteriori conoscenze che mi hanno permesso di migliorare i risultati terapeutici quali l’Ozonoterapia, la Medicina iperbarica e la Rigenerazione Ossea guidata.

Sono stato Relatore in differenti congressi di Medicina Rigenerativa Autologa Multidisciplinare:
1° Convegno LA MEDICINA RIGENERATIVA: presente, futuro e campi di applicazione (Università della Tuscia di Viterbo, 16 febbraio 2019)
Seminario “Concentrati piastrinici e medicina rigenerativa 4.0” Università degli Studi di Chieti e ANTHEC con il tema "Concentrati piastrinici nell'implantologia ceramica: dalla rigenerazione ossea all'ingegneria della zirconia" (Chieti, 23 maggio 2018)

Congresso Regionale di Medicina e Chirurgia Rigenerativa, ASL di Terni con il tema "Emoderivati e Zirconia in odontoiatria: guarigione minimamente invasiva, sicura e rapida"
Nei miei 30 anni di attività medica ho sempre ricercato metodi e tecniche autologhe che permettessero di curare senza nuocere.
Per oltre 10 anni ho diretto un grosso Ambulatorio di Fisioterapia in convenzione ASL (ABC LIFE di Terni) dove venivano eseguiti trattamenti tradizionali di riabilitazione fisioterapica/ortopedica.
Successivamente ho inaugurato e diretto per 9 anni il primo Ambulatorio Odontoiatrico-Fisioterapico a Terni (TUMADENT) autorizzato all’uso di PRP (2010-2019).





Negli anni sono stato consulente di Medicina Rigenerativa ed Implantologia Bio-Logica presso SALVATOR MUNDI INTERNATIONAL HOSPITAL (UPMC), VILLA MAFALDA e NUOVA VILLA CLAUDIA di Roma.
Attualmente lavoro come Responsabile del servizio di Medicina Rigenerativa Multidisciplinare presso la DOMUS MEDICA della Repubblica di San Marino , presso il Poliambulatorio Rigenera a Modena presso la Clinica BIORIGENERA di Barcellona
Sono Responsabile del servizio di Medicina Rigenerativa Multidisciplinare presso il Centro di Prevenzione e Salute Vera Medica a Napoli

Congresso Regionale di Medicina e Chirurgia Rigenerativa, ASL di Terni con il tema "Emoderivati e Zirconia in odontoiatria: guarigione minimamente invasiva, sicura e rapida"

Nei miei 30 anni di attività medica ho sempre ricercato metodi e tecniche autologhe che permettessero di curare senza nuocere.
Per oltre 10 anni ho diretto un grosso Ambulatorio di Fisioterapia in convenzione ASL (ABC LIFE di Terni) dove venivano eseguiti trattamenti tradizionali di riabilitazione fisioterapica/ortopedica.
Successivamente ho inaugurato e diretto per 9 anni il primo Ambulatorio Odontoiatrico-Fisioterapico a Terni (TUMADENT) autorizzato all’uso di PRP (2010-2019).
Negli anni sono stato consulente di Medicina Rigenerativa ed Implantologia Bio-Logica presso SALVATOR MUNDI INTERNATIONAL HOSPITAL (UPMC), VILLA MAFALDA e NUOVA VILLA CLAUDIA di Roma.



Attualmente lavoro come Responsabile del servizio di Medicina Rigenerativa Multidisciplinare presso la DOMUS MEDICA della Repubblica di San Marino , presso il Poliambulatorio Rigenera a Modena presso la Clinica BIORIGENERA di Barcellona

Inoltre sono Responsabile del servizio di Medicina Rigenerativa Multidisciplinare presso il Centro di Prevenzione e Salute Vera Medica a Napoli

Tra innovazione e tradizione, il medico moderno deve restare fedele al Giuramento di Ippocrate: ascoltare, rispettare e curare con coscienza. Tecnologia e umanità insieme per il vero bene del paziente... ...more
Medicina Rigenerativa
April 25, 2026•3 min read

Dolore al polso dopo i 45 anni? Non è solo infiammazione. Con le infiltrazioni rigenerative stimoliamo il tessuto a ripararsi davvero. Meno dolore, più movimento. L’infiltrazione è tecnica. Il risulta... ...more
Medicina Rigenerativa
April 23, 2026•3 min read

Dolore al ginocchio? L’agopuntura riduce infiammazione e dolore in modo naturale. Scopri come funziona e quando passare alla terapia rigenerativa con PRF e cellule staminali per risultati più profondi... ...more
Medicina Rigenerativa
April 21, 2026•3 min read

RX, TAC o Risonanza? Non tutti gli esami dicono la stessa cosa. Scegliere quello giusto significa diagnosi precisa, terapia mirata e paziente corretto. Anche il monitoraggio è fondamentale per risulta... ...more
Medicina Rigenerativa
April 19, 2026•4 min read

Osteoartrosi dell’astragalo: dolore e rigidità alla caviglia non significano subito intervento. Scopri cause, diagnosi e terapie rigenerative per ridurre il dolore e migliorare la funzione senza prote... ...more
Medicina Rigenerativa
April 18, 2026•3 min read

Più performance senza rischi: alimentazione corretta, Spirulina, Cordyceps, ozonoterapia e PRP per migliorare energia, recupero e proteggere le articolazioni. Il vero atleta potenzia il corpo… in modo... ...more
Medicina Rigenerativa
April 16, 2026•3 min read

Protesi perfetta… ma sintomi inspiegabili? 🤔 E se fosse elettrosensibilità? Prima di scegliere il metallo, valuta alternative rigenerative come PRF e cellule staminali. A volte non serve sostituire, ... ...more
Medicina Rigenerativa
April 14, 2026•3 min read

Dolore al tendine d’Achille che non passa? Ignorarlo può peggiorare la situazione. Il PRP è una soluzione rigenerativa che aiuta a ridurre l’infiammazione e favorire la guarigione, spesso evitando l’i... ...more
Medicina Rigenerativa
April 12, 2026•3 min read

Ernia cervicale e dolore al collo? Non sempre serve la chirurgia. L’ozonoterapia è una soluzione minimamente invasiva che riduce infiammazione e dolore. In mani esperte e con più sedute, può migliorar... ...more
Medicina Rigenerativa
April 11, 2026•3 min read


Tra innovazione e tradizione, il medico moderno deve restare fedele al Giuramento di Ippocrate: ascoltare, rispettare e curare con coscienza. Tecnologia e umanità insieme per il vero bene del paziente... ...more
Medicina Rigenerativa
April 25, 2026•3 min read

Dolore al polso dopo i 45 anni? Non è solo infiammazione. Con le infiltrazioni rigenerative stimoliamo il tessuto a ripararsi davvero. Meno dolore, più movimento. L’infiltrazione è tecnica. Il risulta... ...more
Medicina Rigenerativa
April 23, 2026•3 min read

Dolore al ginocchio? L’agopuntura riduce infiammazione e dolore in modo naturale. Scopri come funziona e quando passare alla terapia rigenerativa con PRF e cellule staminali per risultati più profondi... ...more
Medicina Rigenerativa
April 21, 2026•3 min read

RX, TAC o Risonanza? Non tutti gli esami dicono la stessa cosa. Scegliere quello giusto significa diagnosi precisa, terapia mirata e paziente corretto. Anche il monitoraggio è fondamentale per risulta... ...more
Medicina Rigenerativa
April 19, 2026•4 min read

Osteoartrosi dell’astragalo: dolore e rigidità alla caviglia non significano subito intervento. Scopri cause, diagnosi e terapie rigenerative per ridurre il dolore e migliorare la funzione senza prote... ...more
Medicina Rigenerativa
April 18, 2026•3 min read

Più performance senza rischi: alimentazione corretta, Spirulina, Cordyceps, ozonoterapia e PRP per migliorare energia, recupero e proteggere le articolazioni. Il vero atleta potenzia il corpo… in modo... ...more
Medicina Rigenerativa
April 16, 2026•3 min read

Protesi perfetta… ma sintomi inspiegabili? 🤔 E se fosse elettrosensibilità? Prima di scegliere il metallo, valuta alternative rigenerative come PRF e cellule staminali. A volte non serve sostituire, ... ...more
Medicina Rigenerativa
April 14, 2026•3 min read

Dolore al tendine d’Achille che non passa? Ignorarlo può peggiorare la situazione. Il PRP è una soluzione rigenerativa che aiuta a ridurre l’infiammazione e favorire la guarigione, spesso evitando l’i... ...more
Medicina Rigenerativa
April 12, 2026•3 min read

Ernia cervicale e dolore al collo? Non sempre serve la chirurgia. L’ozonoterapia è una soluzione minimamente invasiva che riduce infiammazione e dolore. In mani esperte e con più sedute, può migliorar... ...more
Medicina Rigenerativa
April 11, 2026•3 min read
Utilizziamo i tuoi dati con il massimo rispetto secondo la nostra Privacy Policy. Puoi sempre disdire il tuo consenso cliccando sul link apposito all'interno di ognuna delle nostre mail.

Dr Franco Giancola
BioRigenera
Telefono: +39 3880913583
Partita Iva: ESB72411622
Cliniche:
Via de Carolis, 55, 80040 Volla (NA)
📍 Clinica BioRigenera - Barcellona
Carrer d'Aragó, 95, L'Eixample, 08015 (Spagna)
© Copyright Dr Franco Giancola - All Rights Reserved.
© Sito Creato & Ideato con l'utilizzo
del Protocollo Medico Vincente®
*This Website is not a part of Facebook or Facebook Inc. Additionally, this site is NOT endorsed by Facebook in any way. FACEBOOK is a trademark of FACEBOOK Inc.
*Questo sito non fa parte del sito Facebook o Facebook Inc. Inoltre, questo sito NON è approvato da Facebook in alcun modo. FACEBOOK è un marchio registrato di FACEBOOK, Inc.